Warning: Undefined variable $index in /home2/dotcomvijay/springvaledental.com.au/inc/header.php on line 21

Open 7 Days

Mon - Sat 9:00am - 6:00pm
Sunday - 9:00am - 4:00pm (Appt only)

Wisdom Tooth and Other Surgical Extractions

“Talk to us before you go to a Surgeon for a surgical extraction” The team at Springvale Dental Clinic perform the Wisdom tooth removal in a compassionate and Caring way. We understand that having teeth removed can be an overwhelming and frightening experience to some people.

We can ensure that you will be well taken care of when getting your wisdom teeth removed and we will do our best to maximise your comfort and ensure that you feel your best throughout the entire process. We have many years of experience in wisdom teeth removal and you can feel confident that you are in trusting hands. And even better.

Our costs starts from just $199*

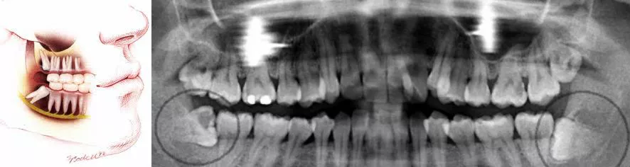
Wisdom teeth become a problem as they begin to grow most commonly in patients that do not have enough space at the rear of the jaw to fit them. If this happens, the teeth become wedged in behind the tooth in front (impacted). Impacted wisdom teeth can cause a variety of problems including infection, pain, damage to nearby molars, and food packing which can then lead to decay.

If the dentist deems it necessary for you to have your wisdom teeth out, you can choose to have the surgery done here at our clinic or be referred to an Oral Surgeon. For those who opt to get it done here we do offer different levels of pain relief. As with all surgeries, there are some risks involved with the taking out of wisdom teeth. For more information please call our surgery to discuss these risks with reference to your particular case.

Wisdom & Impacted Teeth Extraction Cost in Melbourne

Book An Appointment

In normal cases, the cost of extracting a single wisdom tooth can range from $200*-$450* each depending on how complex the procedure will be. Some factors that determine the complexity of such a procedure includes removal of the bone, the requirement to raise the flap, time and the number of tooth division required. The dentist can only give you the final cost after carrying out the initial consultation and looking at the x-rays. Complex Wisdom Teeth extraction requires special skills and our Wisdom Tooth dentist has more than 15 years of experience doing it.

Our costs for single tooth extractions as per below.

Simple/Surgical Teeth Extraction Costs

  • Initial consultation fee of $45*
  • The cost of tooth extraction depending on the complexity $150*-$200*
  • Free Post Treatment Review Appointment valued at $50*

Simple Wisdom/Impacted Teeth Extraction Cost

  • Initial consultation fee of $45*
  • The cost of tooth extraction depending on the complexity $200*-$300*
  • Free Post Treatment Review Appointment valued at $50*

Complex Wisdom/Impacted Teeth Extraction Costs

  • Initial consultation fee of $45*
  • The cost of tooth extraction depending on the complexity $300*-$450*
  • Free Post Treatment Review Appointment valued at $50*

Note: Any invasive or surgical procedures carries some risks. Before proceeding with such a procedure, it is best to first seek advice from a qualified health practitioner. The final cost of the procedure can only be provided after the post review of the patient’s opg x-rays. A very small percentage of cases that are highly complex may be referred to a specialist surgeon.


* Terms and Conditions apply.

PAYMENT OPTIONS